歯列矯正歯科治療
13
歯の負担を無くし
自分の歯の寿命を延ばす

歯を失う大きな原因の一つは、歯列不正から起こる一定の歯に負担がかかり過ぎてしまう咬合性外傷によるものです。
銀座アストラ歯科クリニック曙橋では、自分の歯を長く使っていただくために必要に応じて矯正治療を行っています。それにより、最小限の侵襲で、審美性、機能性、永続性を獲得する事ができます。
対応する矯正歯科治療法は、前歯だけ1本だけというような部分的な矯正治療に対応するマウスピース矯正、見えないよう裏側に器具をつける舌側矯正、短期間で矯正治療が終わるゴムメタル矯正を行っています。
歯並びが悪いと
どうなる?

歯並びが悪ければ、噛み合せも悪いので、むし歯や歯周病にもなりやすく健康にも影響を与えます。それは肉体的なものばかりでなく、精神的にも大きな負担となります。
欧米では、健康的で整った美しい歯並びが常識になっています。また文化的なものからみると、キレイな歯並びを子供に与えることは親の義務であるという文化だそうです。
これは同じアジア圏でも矯正治療が広がっている理由のひとつとしてもあげられるのかもしれません。
日本でも八重歯をチャームポイントとする人を多く見かけましたが、最近では、歯並びに対する日本人の考え方も、徐々に変化してきて綺麗で健康的な歯並びを求める人たちが増えてきました。
歯並びを治す歯列矯正歯科は、病気を治すのと同じように歯の正常な咀嚼(そしゃく)機能を取り戻し、健康な身体と心を作るための歯科治療なのです。そして治療が済めば、健全な咀嚼(そしゃく)器官とともに健康美あふれる笑顔も手に入れることができます。
不正咬合が与える影響
-
- Effect 1
- 食べ物が歯の間にはさまり、歯みがきがしにくく、むし歯や歯周病になりやすい。
-
- Effect 2
- 食べ物をよくかみ砕けず、胃腸などの消化器に負担がかかる。
-
- Effect 3
- 上下のアゴの発育や、顔の成長に影響を与えて、不調和をもたらす。
-
- Effect 4
- 上アゴと下アゴをつなぐ顎関節に負担がかかり、顎関節症になりやすい。
-
- Effect 5
- 咀嚼筋の発達に影響を与え、筋力のバランスが崩れて姿勢も悪くなる。
-
- Effect 6
- 正しい発音がしにくくなる。
大人と子供の矯正歯科

子供の歯列矯正治療
乳歯が生え始めてから10年前後を経過して永久歯の咬合が完成します。この間に噛み合せが悪くなった場合、通常では2期に分けた矯正歯科治療をします。
まず、早期治療(第1期治療)は3歳~11歳頃までの永久歯の咬合完成前の段階で、良好な噛み合せが形成されるように誘導する咬合発育治療です。この時期は大きな成長発育期にあるので比較的簡単な装置で歯の位置や、顎の骨の位置の改善を行います。
次の本格治療(第2期治療)は12歳頃より永久歯の咬合がほぼ完成し、大きな成長期が過ぎ厳密に歯を動かしてよい噛み合せを形成するために、固定式の装置を使用して矯正を行います。

大人の歯列矯正治療
矯正治療は、お子様だけと思いがちですが、決してそうではありません。当院では20代~70代の方と幅広く矯正治療を行っていただいております。
子供の頃から歯並びが悪くコンプレックスを感じている方。タイミングがなく治療を受けられなかった方。時間的・経済的に余裕ができて矯正治療をはじめる方など、さまざまな患者様がいらっしゃいます。
歯並び咬み合わせやキレイな口元を目標として、個人個人にあった方法で治療を行っていきます。
矯正治療装置

マウスピース矯正
マウスピース型の矯正装置は部分矯正のケースに適しており、透明な素材で作られ矯正治療中も目立たず、また取り外しも可能であるため、家にいるときだけ使用するということもできます。
どうしても人前に立たなければいけない仕事についている方も安心して治療を行えます。また、食事中は取り外すことで、料理もおいしく食べることができます。

裏側矯正・舌側矯正
裏側矯正・舌側(ぜっそく)矯正は、リンガル矯正とも呼ばれ、歯の裏側につけるので矯正しているのがわかりません。
最近は装置も小型化が進み、矯正治療中も快適に過ごすことができるようになってきています。

ゴムメタル矯正
ゴムメタルは大手自動車メーカーのトヨタグループが開発した新チタン合金で、ゴムのような性質で、柔らかく、しなやかで、高強度で腰が強く、どんなに変形させても硬くならず、無限のプレス加工性を有します。
このゴムメタルの特性を活かしたワイヤー矯正では、治療期間の短縮も可能になりました。
矯正歯科のケース
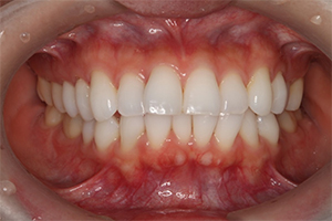
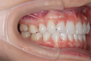
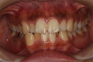
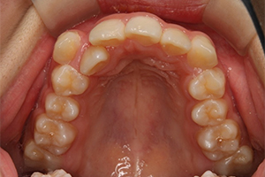
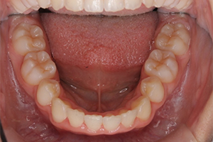
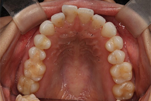
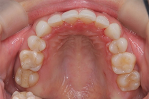
矯正治療のCASE 01
Before
After
-
- 主訴
- 前歯が噛んでいなくて食事がしにくい
-
- 治療内容
- オープンバイト・開咬(かいこう)の歯並び治療
-
- 治療費用
- 88万円~(税込)
-
- 治療期間
- 9か月
【リスク・副作用】
歯の痛み、口内炎、歯磨きがしにくいことによるむし歯や歯周病のリスク、歯根吸収や歯の変色、後戻りなどの副作用があります。
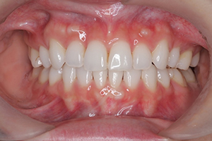
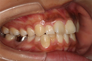
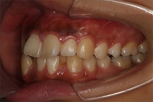
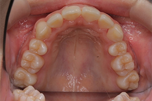
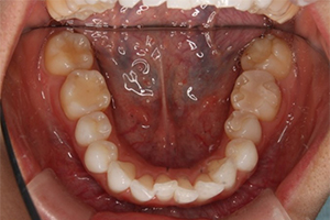
矯正治療のCASE 02
Before
After
-
- 主訴
- 上顎前歯が出ていて口が閉じにくい
-
- 治療内容
- 上顎前突・出っ歯の非抜歯による歯並び治療
-
- 治療費用
- 88万円~(税込)
-
- 治療期間
- 12ヶ月
【リスク・副作用】
歯の痛み、口内炎、歯磨きがしにくいことによるむし歯や歯周病のリスク、歯根吸収や歯の変色、後戻りなどの副作用があります。
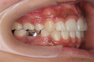
矯正治療のCASE 03
Before
After
-
- 主訴
- 上下とも歯が出ていて気になる
-
- 治療内容
- ラビアル矯正(表側)
抜歯あり
-
- 治療費用
- 88万円~(税込)
-
- 治療期間
- 18か月
【リスク・副作用】
歯の痛み、口内炎、歯磨きがしにくいことによるむし歯や歯周病のリスク、歯根吸収や歯の変色、後戻りなどの副作用があります。
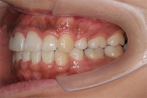
矯正治療のCASE 04
Before
After
-
- 主訴
- 歯並びがガタガタしていて清掃しにくい
-
- 治療内容
- ラビアル矯正(表側)
抜歯あり
-
- 治療費用
- 88万円~(税込)
-
- 治療期間
- 20か月
【リスク・副作用】
歯の痛み、口内炎、歯磨きがしにくいことによるむし歯や歯周病のリスク、歯根吸収や歯の変色、後戻りなどの副作用があります。
矯正治療のCASE 05
Before
After
-
- 主訴
- 歯並びがガタガタしていて清掃しにくい
-
- 治療内容
- ラビアル矯正(表側)
抜歯あり
-
- 治療費用
- 88万円~(税込)
-
- 治療期間
- 20か月
【リスク・副作用】
歯の痛み、口内炎、歯磨きがしにくいことによるむし歯や歯周病のリスク、歯根吸収や歯の変色、後戻りなどの副作用があります。
矯正治療のCASE 06
Before
After
-
- 主訴
- 口元が出ているのが気になる
-
- 治療内容
- ラビアル矯正(表側)
抜歯あり
-
- 治療費用
- 88万円~(税込)
-
- 治療期間
- 20か月
【リスク・副作用】
歯の痛み、口内炎、歯磨きがしにくいことによるむし歯や歯周病のリスク、歯根吸収や歯の変色、後戻りなどの副作用があります。
初診個別相談COUNSELING
患者様は、口の中の状態、通院時間や回数、経済面など来院されるにあたりいろいろな悩みや疑問を持って来られます。
そんな患者様に対して、必要に応じて、保険診療や自費診療を行い、全ての患者様のニーズに寄り添える治療をする事が
我々の最大のポリシーです。
| 診療時間 | 月 | 火 | 水 | 木 | 金 | 土 | 日 |
|---|---|---|---|---|---|---|---|
| 9:30-13:00 | ○ | ○ | ○ | × | ○ | ○ | × |
| 14:00-19:00 | ○ | ○ | ○ | × | ○ | △ | × |










































